Opalescence Boost

In Office Teeth Whitening with Instant Results

Opalescence™ Boost™ professional teeth whitening is applied by your dentist right in the dental office to give you a white smile fast! No hot or uncomfortable LED teeth whitening lights are necessary because it is chemically activated. With just two or three 20-minute treatments its powerful 35% hydrogen peroxide formula provides noticeable results in as little as one hour.

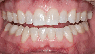
  • Before Opalescence tooth whitening system
  • After Opalescence tooth whitening system
Before
After

Opalescence Boost
Teeth Whitening Features:

Opalescence Products
  • Expert application at the dentist’s office by a trained dental professional
  • Chemically activated whitening, which means no hot, uncomfortable LED teeth whitening lights are needed
  • Teeth whitening gel contains potassium nitrate and fluoride for patient comfort
  • It can brighten smiles in as little as one hour1
  • A bright white smile as soon as you leave the dentist office
  • Vegan—no animal products used
  • Certified gluten free
Gluten Free

What to Expect with Opalescence
Boost Teeth Whitening

How to use Opalescence Boost video
Opalescence Boost Model

Opalescence Boost Teeth Whitening Step-By-Step Guide

1
Opalescence Boost Step-1

1. An initial shade will be taken of your teeth.

2
Opalescence Boost Step-2

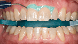
2. A protective barrier will be used to prevent the teeth whitening gel from irritating your gums.

3
Opalescence Boost Step-3

3. Your dentist will apply Opalescence Boost teeth whitening gel with a gentle, brushed tip.

4
Opalescence Boost Step-4

4. You'll see results in about an hour!

Consult with a dental professional for more information.

Other Whitening Options

  1. Polydorou O, Wirsching M, Wokewitz M, Hahn P. Three-month evaluation of vital tooth bleaching using light units-a randomized clinical study. Oper Dent. 2013;38(1):21–32. doi:10.2341/12-041-C